Pihak berwenang AS mula-mula menuduh adanya serangan senjata rahasia sonik, saat muncul keluhan penyakit misterius dari beberapa diplomat Kanada dan AS di Kuba. Namun, kemudian hasil penelitian menunjukkan penyakit disebabkan oleh neurotoksin dosis rendah dalam pestisida anti-nyamuk.
Senjata sonik adalah sejenis senjata yang menggunakan suara berkekuatan ekstrim tinggi untuk melukai atau membunuh sasaran.
Penelitian yang dilakukan di Kanada menyatakan gejala yang diderita oleh sekitar 40 diplomat Kanada dan AS dan keluarga mereka saat bertugas di Kuba kemungkinan dipicu oleh "paparan neurotoksin dosis rendah."
Mereka yang terkena efek sampingnya menderita berbagai gejala yang tidak lazim, termasuk komplikasi pendengaran dan penglihatan, pusing, kelelahan dan sakit kepala.
Insiden dari akhir 2016 hingga 2018 menyebabkan pemerintah di Ottawa dan Washington mengurangi staf kedutaan mereka di Kuba. Saat itu pemerintahan Presiden AS Donald Trump menuduh bahwa para diplomat telah diserang oleh semacam senjata sonik rahasia.
Penggunaan pestisida rutin
Penelitian yang dilakukan oleh tim dari Brain Repair Center dan Nova Scotia Health Authority, tidak menemukan bukti dari teori serangan senjata akustik.
"Ada jenis racun yang sangat spesifik yang mempengaruhi sistem saraf tertentu. Racunnya bisa berupa insektisida, pestisida, organofosfat - yakni racun saraf spesifik," kata penulis utama studi itu, Alon Friedman, seperti dikutip oleh stasiun televisi Kanada CBC .
Kuba secara rutin menggunakan pestisida untuk membasmi serangga yang mungkin menjadi inang penyakit. Havana melakukan program penyemprotan intensif mulai 2016 untuk menghentikan penyebaran virus Zika. Catatan kedutaan yang dikutip oleh Radio Kanada mengatakan bahwa kantor dan rumah para diplomat termasuk di antara lokasi yang disemprot.
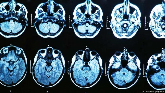
Studi ini melibatkan 26 orang, termasuk kelompok pembanding orang yang belum pernah tinggal di Kuba. Peserta melakukan tes darah dan scan otak. Seekor anjing peliharaan yang mati di Kanada juga ikut diteliti otaknya.
Friedman mengatakan, ada rencana untuk memperluas studi ini ke populasi yang lebih luas di Kuba bekerja sama dengan para ilmuwan lokal, untuk melihat apakah penduduk lainnya juga terkena dampak neurotoksin.
vlz/as (dpa, Reuters, AFP)











































